東京都港区の歯科治療なら「ケテル齒科醫院」
Content Menu
コンテンツへスキップ
HOME
ケテル齒科醫院について
当院の特徴
院長紹介
医院概要・アクセス
院内写真
プレマらくなちゅらる通信インタビュー
杏林予防医学アカデミー >資格試験合格者インタビュー
当医院の設備
治療方針・内容
かみ合わせ・矯正治療
根管治療 / 歯周治療 / 口臭治療
補綴治療
口腔外科
東洋医学・その他の治療
お知らせ 院長コラム
お知らせ・新着情報
自然治癒力をもった小宇宙人体と齒 (院長の独り言)
院長コラム
旧ホームページ
東京口腔力学研究会
お問い合わせについて
ケテル齒科醫院LINE@
ケテル齒科醫院facebook
初めての方へ
当院の特長
治療方針・内容
かみ合わせ・矯正治療
一般歯科
補綴治療
口腔外科
東洋医学・その他治療
院長コラム
自然治癒力をもった小宇宙人体と齒
院長プロフィール
細胞環境デザイン学インタビュー
醫院概要・アクセス
お知らせ・最新情報
ご予約・お問合せ
ケテル齒科醫院
>
院長コラム
>
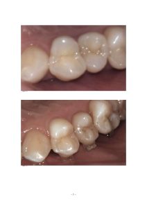
歯の形態
歯の形態
右上の5番目の歯が180度反対に向いていましたが元の正常な形態に矯正で戻しました。
脳の回線も修復できているであろう。
投稿ナビゲーション
前の情報へ「ホルモン」
Copyright © ケテル齒科醫院
Top